รูปภาพหูดหงอนไก่ ปลายอวัยวะเพศชาย

หูดหงอนไก่ที่ปลายอวัยวะเพศชาย มีลักษณะเป็นติ่งเนื้อสีชมพูกระจายออกทางด้านบน ดูคล้ายหงอนไก่หรือดอกกะหล่ำ เป็นนานๆจะเริ่มแข็งขึ้น บางตุ่มที่อยู่ใกล้กันจะมาต่อกันเป็นปื้นหนาได้ ในผู้ชายมักเป็นด้านในของหนังหุ้มปลาย

รูปหูดหงอนไก่ ที่อวัยวะเพศชาย

รูปหูดหงอนไก่ ที่อวัยวะเพศชาย

รูปภาพหูดหงอนไก่ ปลายอวัยวะเพศชาย

รูปภาพหูดหงอนไก่ ปลายอวัยวะเพศชาย

สนใจรักษาหูดหงอนไก่


รูปภาพหูดหงอนไก่ ที่อวัยวะเพศหญิง

ในผู้หญิง ตำแหน่งที่พบหูดหงอนไก่ได้บ่อยคือปากช่องคลอด นอกจากนั้นยังพบที่แคม คลิตอริส ผนังช่องคลอด ปากมดลูก ทวารหนัก แลฝีเย็บได้ด้วย

รูปภาพหูดหงอนไก่ ที่อวัยวะเพศหญิง

รูปภาพหูดหงอนไก่ ที่อวัยวะเพศหญิง

รูปหูดหงอนไก่ที่เกิดบริเวณปากมดลูกของผู้หญิง

รูปหูดหงอนไก่ที่เกิดบริเวณปากมดลูกของผู้หญิง


รูปหูดหงอนไก่ที่ทวารหนัก

ผู้ป่วยชายรักร่วมเพศมักเป็นหูดรอบทวารหนัก ซึ่งอาจลุกลามเข้าไปภายในได้เช่นเดียวกัน หูดหงอนไก่มักเริ่มจากขนาดเล็กๆ ก่อน แล้วโตขึ้นเรื่อยๆ สาเหตุที่ทำให้โตเร็ว ได้แก่ การตั้งครรภ์ ตกขาว ความสกปรก ทวารหนักติดเชื้อ

รูปภาพหูดหงอนไก่ รอบทวารหนัก

รูปภาพหูดหงอนไก่ รอบทวารหนัก

รูปภาพหูดหงอนไก่ รอบทวารหนัก

รูปภาพหูดหงอนไก่ รอบทวารหนัก

พบแพทย์ที่อินทัชเมดิแคร์


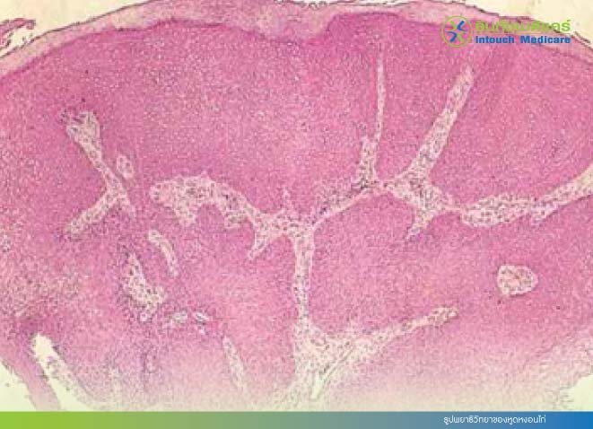
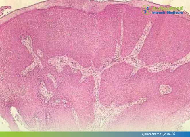
ภาพพยาธิวิทยาของหูดหงอนไก่

  • เชื้อ HPV ทำให้เกิดการติดเชื้อใน epithelial cell ของผิวหนังและเยื่อบุเท่านั้น หลังการติดเชื้อไวรัส เซลล์จะมีการเปลี่ยนแปลง และเพิ่มจำนวนขึ้นเร็วจนเกิดเป็นเม็ดหูดขึ้น ทางพยาธิวิทยาพบว่าชั้นที่มีการหนาตัวอย่างมากจนทำให้เกิด papillomatosis คือชั้น malpighian layer 

  • ในชั้นนี้พบเซลล์ขนาดใหญ่จำนวนมาก มี vacuole ล้อมรอบด้วยนิวเคลียสที่มีลักษณะกลมและติดสีเข้มซึ่งเป็นลักษณะของเซลล์ที่มี cytopathic effect จากการติดเชื้อไวรัส
รูปพยาธิวิทยาของหูดหงอนไก่

รูปพยาธิวิทยาของหูดหงอนไก่

ภาพ Vacuolated cell ซึ่งเกิดจากการติดเชื้อ HPV

ภาพ Vacuolated cell ซึ่งเกิดจากการติดเชื้อ HPV


รูปภาพหูดหงอนไก่ที่ปาก

การร่วมเพศทางปากอาจทำให้เกิดหูดหงอนไก่ขึ้นในปากได้ 

รูปภาพหูดหงอนไก่ที่ปาก

เอกสารอ้างอิง

  • คู่มือโรคติดต่อทางเพศสัมพันธ์, นิวัติ พลนิกร สำนักพิมพ์ เมดิคัล มีเดีย, 2529.

  • โรคติดต่อทางเพศสัมพันธ์, สำนักพิมพ์ข้าวฟ่าง , 2521


 บทความที่น่าสนใจ


สอบถามรายละเอียดเพิ่มเติม

  Hot Line 081-562-7722 กดโทรออก

สนใจทักแชท

  @qns9056c

  อินทัชเมดิแคร์คลินิกเวชกรรม


เรียบเรียงโดย อินทัชเมดิแคร์คลินิกเวชกรรม
  แก้ไขล่าสุด : 19/09/2023

web page counter
เว็บไซต์นี้มีการใช้งานคุกกี้ เพื่อเพิ่มประสิทธิภาพและประสบการณ์ที่ดีในการใช้งานเว็บไซต์ของท่าน ท่านสามารถอ่านรายละเอียดเพิ่มเติมได้ที่ นโยบายความเป็นส่วนตัว  และ  นโยบายคุกกี้