
คุณแม่มือใหม่หรือสาวๆที่ลุ้นว่าจะท้องหรือไม่ท้อง ตรวจการตั้งครรภ์คือทางออกที่ดีที่สุด เพราะการสังเกตอาการเบื้องต้นนั้นอาจไม่เพียงพอที่จะยืนยันได้
ดังนั้นจึงควรมาตรวจครรภ์ที่คลินิกหรือสถานพยาบาลกับคุณหมอดีกว่า นอกจากจะได้ตรวจกับผู้เชี่ยวชาญแล้ว เครื่องมือทางการแพทย์ที่ใช้ตรวจก็สำคัญเช่นกัน แต่หากสาวๆอยากลองตรวจการตั้งครรภ์ด้วยตนเองก่อน อินทัชเมดิแคร์ก็มีวิธีมาแนะนำเช่นกันค่ะ
เรื่องที่น่าสนใจเกี่ยวกับการตรวจการตั้งครรภ์
ตรวจการตั้งครรภ์ด้วยตนเอง ในผู้ที่มีประจำเดือนสม่ำเสมอ สามารถตรวจครรภ์ด้วยที่ตรวจปัสสาวะตั้งแต่วันแรกที่ประจำเดือนไม่มา หรือในกรณีที่ต้องการทราบผลก่อนหน้านั้นการตรวจด้วยวิธีการตรวจเลือดสามารถตรวจเจอได้ตั้งแต่วันที่ 7 ถึง 12 หลังการปฏิสนธิของตัวอ่อน (สัปดาห์ที่ 3 นับจากวันแรกของประจำเดือนรอบสุดท้าย)
*วันแรกของประจำเดือนรอบสุดท้าย = Last Menstrual Period (LMP)
ราคาตรวจการตั้งครรภ์ (โดยใช้เลือด) เริ่มต้น 1,300 บาท
ราคาตรวจการตั้งครรภ์ (โดยใช้ปัสสาวะ) เริ่มต้น 850 บาท

อ้างอิงตาราง hCG levels จาก : https://americanpregnancy.org/getting-pregnant/hcg-levels
เป็นการตรวจโดยการวัดระดับค่าฮอร์โมน hCG ในเลือด ซึ่งเป็นฮอร์โมนที่ผลิตจากรกหรือถุงการตั้งครรภ์ในร่างกายผู้หญิงโดยเฉพาะ
หากระดับน้อยกว่าหรือเท่ากับ 5 mIU/mL = ตรวจไม่พบการตั้งครรภ์
ระดับ 6-24 mIU/mL = ยังไม่สามารถยืนยันการตั้งครรภ์ได้ชัดเจน ผู้ป่วยควรมาตรวจเลือดซ้ำอีกครั้งใน 48 ชั่วโมง หากค่าเพิ่มขึ้นประมาณ 2 เท่าสามารถยืนยันได้ว่ามีการตั้งครรภ์จริง
ระดับ 25 mIU/mL ขึ้นไป = ยืนยันการการตั้งครรภ์
สามารถเริ่มตรวจได้ตั้งแต่สัปดาห์ที่ 3 นับจากวันแรกของประจำเดือนรอบสุดท้าย (ประมาณวันที่ 7 ถึง 12 หลังการปฏิสนธิของตัวอ่อน)

เป็นการตรวจครรภ์แบบวัดระดับค่าฮอร์โมน hCG ในปัสสาวะ
สามารถตรวจวัดได้ตั้งแต่ค่า hCG = 20-50 mIU/mL เป็นต้นไป ขึ้นอยู่กับค่าความไว (sensitivity) ของอุปกรณ์ตรวจวัดแต่ละยี่ห้อ
แนะนำให้เริ่มตรวจตั้งแต่วันแรกที่ประจำเดือนไม่มา ในผู้ที่ประจำเดือนมาสม่ำเสมอทุกเดือน
หรือในกรณีที่ประจำเดือนไม่มา ร่วมกับมีอาการผิดปกติดังต่อไปนี้
คัดตึงเต้านม
มีอาการคลื่นไส้อาเจียนมากกว่าปกติ
ร่างกายอ่อนเพลียง่าย
อยากอาหาร หรือเบื่ออาหารมากกว่าปกติ
ปัสสาวะถี่มากขึ้น

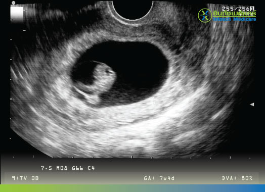
ตัวอย่างของภาพอัลตร้าซาวด์ อายุครรภ์ 7 สัปดาห์
เป็นการตรวจหาถุงการตั้งครรภ์ด้วยการใช้อัลตร้าซาวด์ (คลื่นเสียงความถี่สูง)
สามารถทำได้ 2 แบบ คือ การอัลตร้าซาวด์ผ่านหน้าท้องและผ่านช่องคลอด โดยการอัลตร้าซาวด์ผ่านช่องคลอดจะสามารถมองเห็นถุงการตั้งครรภ์ และโครงสร้างภายในได้ชัดกว่าการอัลตร้าซาวด์ผ่านหน้าท้องในผู้ที่อายุครรภ์น้อย
จะเริ่มมองเห็นถุงการตั้งครรภ์ได้ตั้งแต่อายุครรภ์ประมาณ 5 ถึง 6 สัปดาห์ (นับจากวันแรกของประจำเดือนรอบสุดท้าย)
จะเริ่มมองเห็นการทำงานของหัวใจของทารกในครรภ์ได้ตั้งแต่อายุครรภ์ 7 ถึง 8 สัปดาห์ (นับจากวันแรกของประจำเดือนรอบสุดท้าย)

ตรวจการตั้งครรภ์ในสมัยโบราณ หญิงสาวที่ประจำเดือนขาด มีอาการคัดตึงเต้านม อาเจียน จะทำการทดสอบโดยปัสสาวะรดเมล็ดข้าวสาลีและข้าวบาร์เลย์เป็นเวลาหลายวัน
หากข้าวบาร์เลย์งอกก่อน แสดงว่าเด็กในครรภ์เป็นผู้ชาย หากข้าวสาลีงอกก่อน แสดงว่าเด็กในครรภ์เป็นผู้หญิง หากเมล็ดข้าวทั้งสองชนิดไม่งอก แสดงว่าไม่ได้ตั้งครรภ์
นักวิชาการระบุว่าระดับฮอร์โมนเอสโตรเจน (estrogen) ในปัสสาวะของหญิงตั้งครรภ์ที่สูงมากอาจส่งเสริมการเจริญเติบโตของเมล็ดข้าว
อ้างอิง : บทความอียิปต์โบราณใช้ปัสสาวะรดเมล็ดข้าว การทดสอบตั้งครรภ์เก่าแก่ที่สุดในโลก,ศิลปวัฒนธรรม
ตรวจครรภ์ด้วยที่ตรวจปัสสาวะ และการอัลตร้าซาวด์สามารถทราบผลได้ทันที
ตรวจครรภ์ด้วยวิธีการเจาะเลือด สามารถทราบผลได้ภายใน 1 วัน หลังตรวจ
ตรวจครรภ์ด้วยวิธีการเจาะเลือด สามารถทำได้ตั้งแต่ 7 ถึง 12 วันหลังมีการปฏิสนธิของตัวอ่อน หรือ 3 สัปดาห์หลังวันแรกของประจำเดือนรอบสุดท้าย
ตรวจครรภ์ด้วยที่ตรวจปัสสาวะ สามารถทำได้ตั้งแต่วันแรกที่ประจำเดือนขาดไปในรอบนั้น
ตรวจครรภ์ด้วยการอัลตร้าซาวด์ สามารถทำได้ตั้งแต่ 1 ถึง 2 สัปดาห์หลังประจำเดือนขาด (อายุครรภ์ 5 ถึง 6 สัปดาห์เป็นต้นไป)
การตรวจการตั้งครรภ์ด้วยตัวเอง จะเป็นการตรวจหาฮอร์โมน hCG ในปัสสาวะ ซึ่งมีความแม่นยำค่อนข้างสูง (99%) เพราะฮอร์โมนตัวนี้จะผลิตจากถุงการตั้งครรภ์ในร่างกายผู้หญิงเท่านั้น
อุปกรณ์ที่ใช้ตรวจโดยทั่วไปจะมีความแตกต่างกันในแง่ของรูปแบบการใช้งาน (แบบจุ่ม, แบบหยด และแบบปัสสาวะผ่าน โดยแบบปัสสาวะผ่านจะใช้งานง่ายที่สุด และได้รับความนิยมสูงสุด) และความไว (Sensitivity) ยิ่งค่าความไวต่ำเท่าไร (20 ดีกว่า 50) แปลว่าอุปกรณ์ที่ใช้ตรวจชิ้นนั้น สามารถตรวจครรภ์เจอได้ ตั้งแต่อายุครรภ์น้อยๆ
ตรวจการตั้งครรภ์ในตอนเช้า ปัสสาวะจะมีค่าความเข้มข้นของฮอร์โมน hCG ที่สูงที่สุด ทำให้การตรวจมีค่าแม่นยำกว่าเล็กน้อย
อุปกรณ์ที่ใช้ตรวจโดยทั่วไปจะมีรูปแบบการใช้งานที่แตกต่างกัน ควรศึกษาคู่มือก่อนการใช้งาน เพราะการใช้งานผิดวิธี อาจทำให้การแปลผลคาดเคลื่อนได้
หากตรวจพบว่าตั้งครรภ์ ควรเข้ารับการตรวจยืนยันกับแพทย์ต่อไป เพื่อเข้ารับการตรวจประเมินเพิ่มเติม
โดยทั่วไปการอ่านผลจากชุดทดสอบนั้นไม่ซับซ้อน หากขึ้น 2 ขีด สามารถแปลผลได้ว่าตรวจพบการตั้งครรภ์ หากขึ้น 1 ขีด สามารถแปลผลได้ว่าตรวจไม่พบการตั้งครรภ์
จะเห็นได้ว่ามีวิธีตรวจการตั้งครรภ์หลายรูปแบบ หลายวิธีเป็นทางเลือกให้กับคุณผู้หญิง แต่ในท้ายที่สุดแล้ววิธีการตรวจยืนยันโดยการเจาะเลือดที่สถานพยาบาลหรือการตรวจที่ห้องปฏิบัติการเป็นการยืนยันที่แม่นยำที่สุด และหากพบว่าตั้งครรภ์คุณผู้หญิงสามารถเข้าสู่กระบวนการฝากครรภ์ต่อได้เลย
ที่อินทัชเมดิแคร์ให้บริการตรวจการตั้งครรภ์ โดยสามารถโทรมาจองคิวเข้ารับบริการ หรือ walk in มาที่คลินิกใกล้บ้านคุณได้เลย เราเปิดให้บริการหลายสาขาในกรุงเทพมหานคร สนใจสอบถามได้เลยค่ะ